出っ歯 画像
日本人の不正咬合の中で「 出っ歯を治したい 」方が一番多いです。 全ての出っ歯の患者さまを部分矯正で治すことはできませんが、歯を抜いたりしなくても短期間で出っ歯が治る方にとっては、部分矯正はとてもうれしい治療方法です。.
出っ歯 画像. 画像数:248枚中 ⁄ 1ページ目 更新 プリ画像には、出っ歯の画像が248枚 、関連したニュース記事が9記事 あります。. 画像を拝見しますと右上2番が欠損歯で、左上2番の矮小歯が確認できます。 さらに前歯2本の形態がやや長めで左に傾斜しているのが分かります。 このケースをラミネートべニア法で治療する場合、左右の2番目の歯の形態を正しく改善するのは有効ですが.

インビザラインでの出っ歯の矯正 治療例 ビフォーアフター

出っ歯 上顎前突 セラミックの差し歯 短期間で美しく治療 青山審美会歯科矯正クリニック 東京都渋谷区

気になる出っ歯をマウスピースで改善 インビザラインによる矯正治療 東京駅前しらゆり歯科 東京駅八重洲口 日本橋駅
出っ歯 画像 のギャラリー
3

子供の出っ歯 上顎前突 治療 大分 矯正歯科ガイド

大人の治療例 出っ歯 抜歯治療
新浦安の歯医者 栗林歯科医院 の症例詳細

阪急梅田駅徒歩5分 梅田スマイルパートナー矯正歯科 出っ歯

子供の出っ歯の矯正治療例 千葉県柏市で歯列矯正なら柏kt矯正歯科

天王寺で前歯の矯正なら大阪の小室歯科近鉄あべのハルカス診療所へ

仙台の矯正歯科 西村矯正歯科クリニック 不正咬合の特徴と治療法 出っ歯

出っ歯の原因と矯正治療 南青山矯正歯科 審美歯科

大阪市の難波で前歯 出っ歯の矯正ならハートフル歯科 矯正歯科

症例写真 出っ歯 舌側矯正 アンカースクリュー矯正は日本先進矯正歯科学会

出っ歯矯正症例 上だけの症例 歳から39歳まで 1

大阪市の難波で前歯 出っ歯の矯正ならハートフル歯科 矯正歯科
出っ歯は 日本人の歯並びの悩みで第2位となっております インビザラインなら 比較的 ホワイトエッセンス成城クリニック Facebook

出っ歯 上顎前突 の治療 東京 横浜の矯正歯科 歯列矯正 なら精密審美会

出っ歯 上顎前突 南千住の矯正歯科 南千住小児歯科矯正歯科 土日診療

出っ歯治療と料金例 審美性を大切にした歯科治療ならホワイトホワイト東京 新宿 恵比寿 有楽町

症例 出っ歯 上顎前突 赤羽矯正歯科 日本矯正歯科学会 認定 専門医 舌側矯正歯科治療 認定医 東京北区赤羽

30代女性 重度の出っ歯を美しく 医 精密審美会

出っ歯 上顎前突 霧島市 矯正歯科 たけした矯正歯科

さくらい歯列矯正歯科症例集 スマイル さくらい歯列矯正歯科二子玉川 二子玉川駅から徒歩2分 土日も診療

結婚式までにきれいになりたい 出っ歯 八重歯の部分矯正症例 矯正歯科専門クリニックの症例紹介

出っ歯 上顎前突 の歯列矯正治療 東京都港区麻布十番のuc矯正歯科

子供の出っ歯の治療について 世田谷区野沢の矯正歯科 しぶたに矯正歯科

上顎前突 出っ歯 過蓋咬合の矯正歯科治療 期間 費用 東京の矯正歯科

さくらい歯列矯正歯科症例集 スマイル さくらい歯列矯正歯科二子玉川 二子玉川駅から徒歩2分 土日も診療
Q Tbn 3aand9gcrpe4w5woq4pwl19xhynulzwzlyqunwe40tknooqf7pqxyjzryv Usqp Cau
Q Tbn 3aand9gcqrybge5ouvntvp 2m6a9ri4mgfounugc9gifsbiz2f0e66nsds Usqp Cau

出っ歯

出っ歯 宮城郡松島町の小児 矯正の西村歯科医院です 石巻 古川 仙台から小児矯正で来院多数 石巻 古川 仙台の子ども専門の矯正歯科は西村歯科医院

大人の矯正 上突咬合case2 100症例の信頼 Jso 日本歯科矯正専門医学会

出っ歯の概要と抜かない矯正 非抜歯矯正 で治療する方法 身近でやさしい医療メディア

他院で抜歯と言われた出っ歯を部分矯正した症例 No 024

上顎前突 出っ歯 治療実例 マウスピース矯正 裏側矯正の矯正歯科 吉祥寺デンタルクリニック

前歯の出っ歯の治療法 ザ ホワイトデンタルクリニック

出っ歯の歯科矯正治療例 千葉県柏市で歯列矯正なら柏kt矯正歯科

出っ歯 上顎前突 治療例 札幌の矯正歯科 アントン矯正歯科クリニック

インビザラインで出っ歯はなおる 最新の矯正治療最前線 キレイな歯並び Smileworkout

症例 出っ歯 名古屋市みずの矯正歯科

出っ歯の治療法 非抜歯の考え方 1 よしかわ矯正歯科 症例

出っ歯 上顎前突 の症状と治療 大分 矯正歯科ガイド

出っ歯 中学生 矯正歯科 分割手数料0円 名古屋市栄の大山矯正歯科

出っ歯矯正症例 上だけの症例 歳から39歳まで 1

24歳 女性 出っ歯 を治したい 重度の上顎前突症 みやび矯正歯科医院

インビザラインによる軽度な出っ歯の矯正治療 医 精密審美会

子どもの出っ歯の歯並び矯正治療 東京都港区麻布十番のuc矯正歯科
おめでとうございます 出っ歯の矯正治療とホワイトニング 千葉の矯正歯科 みどり区役所前矯正歯科クリニックのブログ

出っ歯 ささき矯正歯科クリニック 戸塚駅徒歩3分 矯正治療専門

出っ歯の矯正 福岡市博多区博多駅近くの矯正歯科 審美歯科さあデンタルクリニック

出っ歯 とし歯科

インビザラインによる軽度な出っ歯の矯正治療 医 精密審美会

症例 重度の出っ歯 口ゴボ 過蓋咬合の治療例 コラム 公式 K Braces矯正歯科原宿駅前

症例 出っ歯 名古屋市みずの矯正歯科

大学生 女子 出っ歯の矯正歯科治療 よしかわ矯正歯科 症例

出っ歯の矯正 福岡市博多区博多駅近くの矯正歯科 審美歯科さあデンタルクリニック

出っ歯をセラミックの被せ物で治してはならない訳 神奈川県横浜市港北区 小机歯科

しゃけでっぱ 出っ歯も個性 しゃけでっぱの歯列矯正 アラサー 楽天ブログ

出っ歯と八重歯の歯列矯正 治療例 銀座しらゆり歯科

出っ歯 上顎前突 歯ぐき 症例写真 大阪の審美歯科 インプラント ウメダデンタルクリニック

口唇の突出と横顔 出っ歯の改善 医院ブログ

出っ歯 歯列矯正症例紹介 歯列矯正なら自由が丘矯正歯科クリニック 東京
子供の出っ歯の矯正治療は早い方が良い さっぽろ矯正歯科クリニック

子供の出っ歯 上顎前突 8歳 10歳 11歳 13歳

出っ歯 大阪の審美歯科治療 ウメダデンタルクリニック

出っ歯 上顎前突 の歯列矯正治療例 期間 港区虎ノ門 新橋の矯正歯科

インビザラインによる出っ歯と捻れの治療例 銀座しらゆり矯正歯科
Q Tbn 3aand9gct2lo4vpxqz1yb1i6zrtlz77i5q9jdm1qi Guwdbg5m0wifi46s Usqp Cau

出っ歯 大阪 梅田の矯正歯科 Nao梅田歯科 矯正歯科 出っ歯の矯正 前歯の矯正 大阪市北区梅田 ヒルトンプラザウエスト4f

出っ歯の3つの治し方 セラミック 部分矯正 歯列矯正の費用と期間を徹底比較

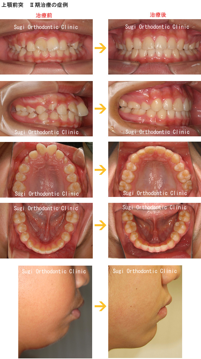
出っ歯 上顎前突 の症例 日野市多摩平 すぎ矯正歯科クリニック

子供の出っ歯の矯正治療例 千葉県柏市で歯列矯正なら柏kt矯正歯科

出っ歯を改善するメリット 大分インビザライン情報

上顎前突 出っ歯 フォレスト矯正歯科クリニック 名古屋市 中区 栄

男監修 出っ歯だと彼氏はできないの 男の本音と心理まとめ オージのnayamiラボ

前歯2本の出っ歯をセラミック矯正するメリットとデメリット 南青山矯正歯科 審美歯科

裏側矯正は出っ歯の方におすすめ 大分 矯正歯科ガイド

出っ歯が気になってる 藤沢 辻堂の矯正 矯正歯科 小児矯正なら 鎌田歯科矯正クリニック 藤沢駅徒歩3分

上顎前突 出っ歯 マウスピース型カスタムメイド装置 インビザライン の症例 対応症例について 東京都中央区でマウスピース矯正 インビザライン をお探しなら日本橋駅すぐ エムアンドアソシエイツ矯正歯科

Q Tbn 3aand9gctpdexijkil2qoy25sdsd0pnuos8fj9pmsc6g Usqp Cau
この出っ歯はどれくらいですか 軽度 中度 重度でお願いします また 歯科 Yahoo 知恵袋

出っ歯やすきっ歯 受け口の矯正は きたがわ矯正歯科にお任せ

子供の出っ歯の治療について 世田谷区野沢の矯正歯科 しぶたに矯正歯科

出っ歯の歯並びが気になる方へ 鶴ヶ峰の矯正歯科 たけのうち矯正歯科

出っ歯の矯正治療例一覧 京都 さわだ矯正歯科

前歯の出っ歯はマウスピース矯正で治せる 南青山矯正歯科クリニック

上顎前突 出っ歯 治療実例 マウスピース矯正 裏側矯正の矯正歯科 吉祥寺デンタルクリニック

大人の治療例 出っ歯 抜歯治療

出っ歯の矯正治療例 京都のかながわ矯正歯科

症例 重度の出っ歯 口ゴボ 過蓋咬合の治療例 コラム 公式 K Braces矯正歯科原宿駅前

出っ歯の症状と治療法 上顎前突 大分県の矯正歯科 相談室

出っ歯もキレイライン矯正で治る 知りたい情報をまとめました キレイライン矯正

子供の出っ歯 上顎前突 8歳 10歳 11歳 13歳

お子さんの出っ歯でお悩みの方へ 子どもの矯正 神戸矯正歯科グループ

あなたはどのタイプ 岩手 盛岡の矯正歯科なら やすの矯正歯科クリニック

21歳 女性 出っ歯 と 口もとを 治したい 上顎前突症 抜歯 みやび矯正歯科医院

箕面市の出っ歯でお悩みの方 足立矯正歯科 足立矯正歯科 Adachi Ortho Com

見えない矯正 舌側矯正 出っ歯の治療例 福岡北九州小倉 矯正歯科 うりゅう矯正歯科クリニック

出っ歯 おとな 堺市堺区 矯正歯科 舌側矯正 塩田矯正歯科

出っ歯の矯正 見えない矯正 舌側矯正 もりた歯科 矯正歯科 広島市中区基町

矯正治療後に残ってしまった出っ歯を再治療により治った症例 ドクタービーバー小児歯科 矯正歯科
歯並びや噛み合わせが悪い 種類と見分け方 矯正歯科ネット



